Schwarz auf weiß
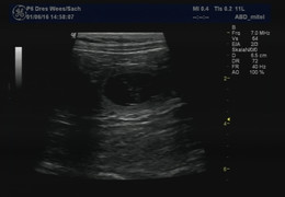
Nun haben wir es endlich schwarz auf weiß :) Die Hochzeit auf Schalke ist erfolgreich gewesen und wir erwarten unsere "Chaos Kinder" in der ersten Juli Woche.
Während Mama Rose Hunger hat für 13 und schon etwas von ihrer sportlichen Unterlinie eingebüßt hat, sind Alexandra und Papa Dante in der letzten Woche zur Ausdauerprüfung angetreten. Gemeinsam haben sie den 20km Lauf und die anschließende Unterordnung erfolgreich bewältigt. Wir sind sehr stolz auf die beiden!!
Nun geht es mit meiner Paradedisziplin weiter... WARTEN...